위와 같은 증상들이 보이면 천식을 의심해봐야 합니다.
주의할 점은 위와 같은 증상들이 눈에 띄게 나타나지 않는, 다시 말하면 비전형적으로 나타나는 경우도 많아서 천식인지 모르고 지나치는 경우도 있습니다.예를 들어 마른기침만 반복하는 경우도 있고, 목에 이물감만 호소하는 경우도 있습니다.
다음과 같은 증상이 보인다면 천식을 의심해 봐야 합니다.
천식의 대표적인 증상입니다.
발작적으로 나타나며 한번 발생되면 쉽게 멈추기 힘든 경우가 많습니다
숨쉬기가 힘들어집니다.
가슴이 막혀있는 느낌이 들고 심한 경우는 가슴에 돌덩이가 있는 느낌이 들 수도 있습니다.
알레르기처럼 면역체계에 이상이 생겨 발병됩니다.
즉, 이상 반응을 일으키는 물질(알레르기 유발물질)이 일반적으로 보면 건강에 해로울 정도는 아닌데도, 우리 몸이 위험한 물질로 착각을 해서 이를 제거 하기 위해 염증이 생겨 문제가 되는 것입니다. 일종의 과민반응인 것입니다.
이러한 면역체계의 과민 반응이 기관지에 생기면 기관지벽이 두꺼워지고 그로 인해서 직경이 좁아지게 됩니다.
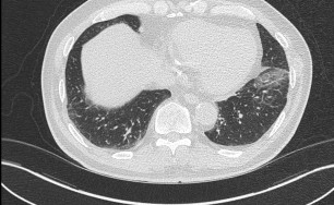
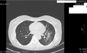
즉 천식은 기도 통로가 좁아지면 공기가 원활하게 지나가지 못하므로 호흡이 어려워져서 기침, 천식음(쌕쌕 거리는 소리), 호흡곤란, 가슴답답 등이 반복적으로 발생하는 질환입니다.
적극적으로 천식을 치료하는데는 어떤 방법들이 있을까요?
흔히 발작적인 천식증상 발현시 흡입제를 통해 즉각적인 억제를 하면서 생활하게 됩니다.
이런 흡입제도 의미가 있으나 천식 치료에는 한방치료도 효과적이라고 알려져 있습니다.
해외연구 논문으로 한번 확인해볼까요?
북경과 상해의 호흡기 센터에 연수 다녀왔습니다.
상해에 있는 용화병원 호흡기 센터에 연수 다녀 왔습니다.
용화병원은 상해중의학대학 부속 병원으로 국가지정 가장 높은 등급의 병원입니다.
난치병 치료의 대가로 손꼽이는 인물로 이사무(리스마오)선생이 있습니다.
중국 최고 의사 호칭인 국의대사(國醫大師)로 지정되었으며 현재는 수제자 왕사평 선생을 통해서 의술이 이어지고 있습니다.
그의 진료실에서 직접 사사받을 수 있는 기회를 가졌습니다.
* 이런 식으로 증상 확인을 한 다음 진맥 결과를 바탕으로 사람마다 모두 다른, 최적화된 맞춤형 처방을 시행합니다.
이사무 선생의 진료실에서



주소: 서울시 강남구 남부순환로 359길 12 향덕빌딩3층
지하철 3호선 양재역 4번 출구에서 도보로 3~5분
1층 후문에는 전용주차장이 있습니다자세히보기